2023. 11. 6. 23:19ㆍ건강
기온이 영하로 떨어지면서 차가운 공기 등에 피부가 노출되면 붉게 변하고 가려움증이 생기는 한랭 두드러기를 호소하는 사람들이 많아집니다.
일교차가 큰 가을철이나 온도가 낮은 겨울에 발생되는 한랭 두드러기에 대해서 알아보겠습니다.
한랭 두드러기란?
한랭 두드러기는 추운 날씨나 저온 환경에서 피부에 발생하는 두드러기의 일종이며, 이러한 현상은 소인성, 체온 감소 두드러기, 추위 두드러기 등 다양한 이름으로 불립니다.
한랭 두드러기는 피부가 차가원 공기나 물질에 노출되어 주로 손과 발, 얼굴 및 다른 노출 부위에서 발생하며, 추위에 노출될 때 혈관이 수축하고 혈액 공급이 감소함으로써 발생합니다.
이로 인해 피부에 가려운 발진, 붓기 및 빨간 반점이 생길 수 있으며, 이는 주로 일교차가 심한 가을철이나 온도가 낮은 겨울에 발생되는 질환입니다.

한랭 두드러기 원인
한랭 두드러기의 원인은 아직까지 명확하게 밝혀지지 않았습니다. 한랭 두드러기는 다음과 같은 원인과 관련이 있을 수 있습니다
1. 추운 환경
한랭 두드러기의 가장 일반적인 원인은 추운 환경에서 노출되는 것입니다. 저온, 바람, 습도 부족과 같은 요인이 혈관 수축 및 피부 손상을 유발할 수 있습니다.
2. 혈관 수축
추운 환경에서 혈관이 수축하면 혈액 공급이 감소하고, 이로 인해 피부 온도와 혈액 유량이 감소합니다. 이것은 두드러기의 주요 원인 중 하나입니다.
3. 불균형한 온도 변화
추운 날씨에서는 옷을 따뜻하게 입거나 히터를 틀어 더운 공간으로 들어가는 등, 현상을 덧불리는 불균형한 온도 변화가 한랭 두드러기를 유발할 수 있습니다.
4. 선천적 요인
가족력이 있는 경우 한랭 두드러기에 더 취약할 수 있습니다. 유전적 요인은 한랭 두드러기의 발병 가능성을 증가시킬 수 있습니다.
5. 민감한 피부
피부가 민감하거나 건조한 경우, 한랭 두드러기에 민감해질 수 있습니다.
6. 자가 항체반응
B형 또는 C형 간염과 동반되는 차가운 것에 대한 적혈구의 자가항체반응인 한랭 글로불린 혈증, 백혈병, 감염성 단핵구증 후에 생길 수 있습니다. 매독, 수두, 홍역, 수두, 등의 감염 후에 발생하는 경우도 있습니다.
7. 세균 감염 후유증이나 약물 후유증
호르몬 조절 이상, 자율 신경계 조절 이상, 편도선염, 인후염 등 세균 감염 후유증이나 소염 진통제, 항경련제 등 약물 후유증으로도 한랭 두드러기가 발생할 수 있습니다
한랭 두드러기는 주로 피부의 혈관 수축 및 확장에 관련된 반응으로 인해 발생합니다. 추운 환경에서 피부를 보호하고, 온도 변화를 피하며, 적절한 의류와 보호장비를 착용하여 이러한 원인을 줄이는 것이 도움이 될 수 있습니다.

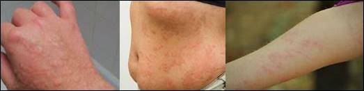
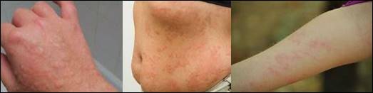
한랭 두드러기 증상
한랭 두드러기의 증상은 추운 환경에서 노출되거나 저온 환경에서 혈관 반응에 따라 발생하는 피부 장애로 인해 나타납니다. 이러한 증상은 다음과 같이 나타날 수 있습니다
1. 가려움증
한랭 두드러기의 가장 흔한 증상 중 하나는 피부에서의 가려움증입니다. 가려움증은 일반적으로 피부의 혈관 수축과 관련이 있으며, 두드러기 발작 중에 특히 뚜렷하게 나타날 수 있습니다.
2. 통증
두드러기 발작 동안 피부에서 통증을 느낄 수 있습니다. 피부가 축축해지고 혈액 공급이 감소하면 통증이 발생할 수 있습니다.
3. 붓기
피부에 붓기가 생길 수 있으며, 특히 얼굴, 손, 발, 귀, 입술 및 눈 주위에서 두드러기가 발생하는 경우 붓기가 동반될 수 있습니다.
4. 빨간 반점
한랭 두드러기는 빨간 반점이 피부에 나타나는 것이 특징적입니다. 이러한 반점은 일시적으로 발생하고 일반적으로 두드러기 발작이 끝나면 사라집니다.
5. 발진
피부에 발진이 나타날 수 있으며, 이 발진은 주로 피부의 혈액 공급 부족으로 인해 발생합니다.
한랭 두드러기의 증상은 주로 추운 환경에서 노출된 후에 나타나며, 온도가 다시 상승하거나 따뜻한 환경으로 이동하면 증상이 완화될 수 있습니다. 그러나 심한 경우 의료 전문가와 상담하는 것이 좋습니다. 어떤 경우에는 항히스타민 약물과 같은 치료가 필요할 수 있습니다.
한랭 두드러기 진단
한랭 두드러기 진단은 다음과 같습니다. 얼음덩어리를 5분간 팔에 올려놓거나, 10분간 찬 공기를 쐰 후 다시 더워질 때 두드러기가 생기면 한랭 두드러기로 볼 수 있습니다.
한랭 두드러기를 진단하는 일반적인 방법은 아래와 같습니다.
1. 증상 평가
얼음 덩어리를 5분간 팔에 올려놓거나, 10분간 찬 공기를 쐰 후 다시 더워질 때 두드러기가 생기는지 확인합니다.
2. 환경력 확인
환자의 노출 이력을 확인합니다. 즉, 언제 한랭 두드러기 증상이 발생했는지, 어떤 환경에서 노출되었는지 등을 파악합니다.
3. 신체검사
의료 전문가는 환자의 피부를 신체검사하여 두드러기 증상을 확인합니다. 피부 상태, 가려움증 부위 및 다른 증상을 확인하는 것이 포함될 수 있습니다.
4. 진단 기타 신체검사
때로는 환자의 혈액검사, 피부 바이오프시 등의 추가 진단 절차가 필요할 수 있습니다. 이러한 테스트를 통해 다른 피부 질환을 배제하고 한랭 두드러기를 확인할 수 있습니다.
5. 심층 조사
특히 증상이 심한 경우 또는 다른 복잡한 증상이 함께 나타날 때, 피부 전문가 또는 알레르기 전문가와 상담하는 것이 도움이 될 수 있습니다.
한랭 두드러기는 주로 추운 환경에서 발생하므로 환자의 노출 이력 및 증상에 대한 상세한 정보가 중요합니다. 진단은 주로 증상과 노출 이력을 기반으로 하여 증상이 지속되거나 심각한 상태인지 확인 후 진단 및 치료방법을 결정해야 합니다.
한랭 두드러기 치료
한랭 두드러기는 근본적 치료 방법이 없으며 한랭 두드러기의 치료는 주로 증상의 완화와 재발 방지를 목표로 합니다. 아래는 한랭 두드러기를 치료하는 데 도움이 될 수 있는 몇 가지 일반적인 접근 방법입니다.
1. 온도 조절
추운 환경에서 노출을 피하거나 제한하려고 노력하세요. 따뜻한 의류를 입고, 손과 발을 보호하고, 몸을 따뜻하게 유지하십시오.
2. 피부 보호
한랭 두드러기를 예방하기 위해 노출되는 피부를 적절히 보호하세요. 장갑, 모자, 목도리, 양말 및 긴 옷을 착용하여 피부를 보호하고 바람을 막아주십시오.
3. 급격한 온도 변화 피하기
추운 환경에서 따뜻한 실내로 들어갈 때 급격한 온도 변화를 피하려고 노력하세요. 온도 변화는 증상을 악화시킬 수 있습니다.
4. 습도 유지
피부가 건조할 경우 한랭 두드러기가 더 악화될 수 있으므로 습도를 유지하는 것이 도움이 됩니다. 가습기를 사용하거나 적절한 보습제를 활용하여 피부를 적절히 유지하십시오.
5. 항히스타민 약물
심한 한랭 두드러기 증상의 경우 의료 전문가의 처방에 따라 항히스타민 약물을 사용할 수 있습니다.
증상이 매일 발생할 정도로 심하거나 겨울에 어쩔 수 없이 매일 찬 공기에 노출된다면 예방적으로 매일 항히스타민제를 복용하는 것이 좋습니다. 항히스타민제는 부작용이 매우 적은 약제이므로, 대부분 안전하게 장기적으로 복용해도 괜찮습니다.
6. 따뜻한 의류
기능적이고 따뜻한 의류를 선택하여 추운 환경에서 노출되는 동안 피부를 보호하세요. 특히 기능성 내의를 선택하면 보온성과 피부 보호에 도움이 됩니다.
7. 피부 보습제
건조한 피부를 가진 경우 적절한 피부 보습제를 사용하여 피부를 유지하십시오.
8. 유전적 요인 고려
가족력이 있는 경우 한랭 두드러기에 민감할 수 있으므로 유전적 요인을 고려하고 적절한 예방 조치를 취하십시오.
한랭 두드러기의 증상이 심한 경우 또는 지속되는 경우 혈관염이 동반된 한랭 두드러기일 가능성이 있으므로 부신 피질 호르몬 등의 면역 억제제 등이 일시적으로 도움이 될 수 있습니다. 항면역글로불린 E 항체 (오말리주맙)의 투여가 도움이 되어다는 보고도 있습니다.
한랭 두드러기 주의사항
한랭 두드러기에 주의 사항은 아래와 같습니다.
1. 온도 습도 유지
한랭 두드러기를 예방하기 위해서는 실내 온도를 18~20℃를 유지하고 습도가 40% 이상이 되도록 해야 합니다.
2. 신체온도 유지
여름철 에어컨을 지나치게 운영하는 경우에도 한랭 두드러기의 유발 요건이 되기 때문에 실내에서도 얇은 옷을 착용하여 신체 온도를 유지해야 합니다.
3. 찬물 샤워 지양
한랭 두드러기를 경험한 사람은 한여름이라 하더라도 찬물 샤워나 수영은 피하는 것이 좋습니다. 목욕은 5~10분 정도 따뜻한 물로 하는 것이 적당합니다.
4. 직접 추위 노출 예방
추위를 예방하기 위해서 따뜻한 옷차림을 유지해야 하며, 추운에 노출되어 있다가 갑자기 더운 곳에 들어가는 것은 삼가야 합니다.
'건강' 카테고리의 다른 글
| 신증후군 출혈열 원인 증상 치료 예방방법 (0) | 2023.11.08 |
|---|---|
| 폐렴 원인 증상 치료 방법 (0) | 2023.11.07 |
| 성병 클라미디아 증상 치료 방법 (0) | 2023.11.03 |
| 급성 기관지염 원인 증상 치료 예방 방법 (0) | 2023.11.03 |
| 영유아에게 발생되는 원인불명 질환 "가와사키병" 증상 원인 치료 방법 알아보기 (1) | 2023.11.02 |