2023. 2. 18. 23:02ㆍ건강
| 목 차 |
| 1. 치아 우식증이란 무엇인가 2. 치아 우식증 원인은 무엇인가? 3. 치아 우식증 발생원리 4. 치아 우식증 치료 방법 |
흔히 충치라고 부르는 치과질환의 의학용어로는 ' 치아우식증'입니다.
충치는 세계적으로도 가장 흔한 치과질환 중 하나이며, 입안에 있는 세균이 당분을 분해하면서 생성되는 산에 의해 치아가 녹는 것을 의미합니다.
치아우식증이란 무엇인가?
치아우식증이란?
치아의 머리 부분 표면을 덥고 있는, 치아의 법랑질 또는 에나멜질이라고 합니다. 입 안에 서식하는 박테리아에 의해 설탕, 전분 등이 분해되면서 생기는 산에 의해 치아의 법랑질이 손상되어 충치가 생기는 것을 의미합니다.

치아우식증 원인은 무엇인가?
치아우식증이 발생하는 원인은 치면세균막 때문입니다. 치균세균막은 입안의 세균과 음식물을 섭취하고, 그 음식물 찌꺼기가 제대로 닦이지 않아서 입 안에 남아있을 음식물 찌꺼기가 치아에 끈적끈적하게 붙어 있는 것을 말합니다.
이 찌꺼기들이 플라그를 이루고 있는 세균들에 의해서 분해되면서 산 성분이 나와 치아면을 부식시키기 되어 치아우식증이 발생하게 됩니다.

치아우식증 발생원리
치아우식증의 주 증상은 치아 통증으로서, 단계 및 진행과정에 따라 통증을 느끼는데 차이가 큽니다. 단계는 치아 내에 손상 정도에 따라 4단계로 분류됩니다.

1단계, 치아 표면의 미세한 틈에 음식물 찌꺼기가 부패하면서 충치가 생기는 단계이며 치아의 가장 바깥층인 법랑질에만 국한된 경우입니다. ( 법랑질만 삭음)
- 스스로 느끼지 못하고 육안으로 구분하기 어려우며 증상 및 통증은 거의 없습니다.
2단계, 충치의 치아가 보호하는 법랑질을 지나 상아질까지 전파하면서 증상이 악화되는 단계입니다. ( 상아질까지 삭음)
- 음식섭취 시 통증을 느끼고 육안으로 확인이 가능하며 시리고 약간의 통증이 발생하여, 무언가 불편함이 느껴지는 단계입니다.
3단계, 2단계가 심화되어 충치가 이어서 신경까지 침투하여 염증이 발생하고 극심한 통증을 느끼는 단계입니다 ( 치수까지 퍼짐)
- 3단계에 들어서면, 차갑고 뜨거운 음식 섭취 시 약간의 통증이 발생하게 됩니다.
4단계, 충치가 신경조직 전체에 염증을 유발하여 치아 뿌리까지 염증이 퍼져 있는 단계입니다.
- 4단계까지 손상되기 전에 상당한 통증으로 인해, 치과 치료를 받아야 합니다. 치아의 뿌리만 남게 되면 음식 저작 시 상당한 통증이 발생하게 됩니다.
치아우식증 치료 방법
치아우식증의 치료는 치아의 상태나 그 진행 정도를 치과의사의 판단에 의해 적합한 충전재로 치료를 해야 합니다.

1. 아말감 치료
아말감은 구리, 수은, 은, 아연 등의 이용한 합금의 일종으로, 치아우식증 치료에 있어 가장 오래된 재료이며, 널리 사용되어 그 효율성이 입증되어 있는 충전재입니다. 상태가 심하지 않으면 아말감 치료가 많이 쓰이며, 1~2만 원대로 가격이 저렴한 편이나 수은으로 인한 유해성에 대한 논란이 있습니다.
최근의 다른 충전재들과 비교하였을 때, 아말감 자체의 색깔로 인해 심미성이 떨어지고 치아와 직접적인 접착력이 없기 때문에, 광범위한 치아우식증이 있을 경우, 탈락이나 치아파절을 일으킬 수 있다는 단점이 있습니다.

2. 레진 치료
레진은 앞니나 작은 어금니 등에 눈에 보이는 치아 위치 또는 간단한 치아 우식증 치료에 사용하는 충전재로써, 색도 치아와 유사하며 치질과 접착하는 특징이 있습니다.
레진은 내구성이 우수하고 아말감에 비해 치아를 적게 깎아내는 장점이 있으나 착색의 우려의 단점이 있습니다.

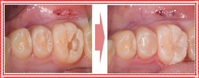
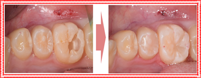
3. 인레이 치료
치아우식증이 너무 광범위하거나 옆 치아와 충치가 맞닿은 경우에는 아말감, 레진을 이용한 치료에 무리가 있습니다.
이러한 경우, 치아의 충치를 제거하고 본을 떠서 제작한 수복물을 접착하는 방법을 사용합니다. 구강밖에서 맞춤형으로 제작하기에 보다 정교하게 제작이 가능하다는 특징이 있습니다.
인페이에도 종류가 많으며, 대표적으로 금 인레이와 세라믹 인레이 등이 있습니다. 금 인레이는 마모성이 적고 내구성도 우수하며, 착색도 쉽게 되지 않는 강점이 있습니다.
세라믹 인레이는 착색도 덜하고 심리적으로 우수하다는 장점이 있으나 내구성이 덜하다는 단점이 있습니다.

치아우식증 예방방법
유치가 나오지 전에는 젖은 거즈로 입 속을 깨끗하게 해주는 것이 좋습니다. 6개월~12개월 유치가 나왔다면 부드러운 칫솔을 이용하여 이 닦기를 할 수 있습니다.
튼튼한 유치와 영구치를 관리하기 위해 건강한 식습관 관리를 해야 하고 밤중 수유는 치아에 충치를 생기게 할 수도 있기 때문에 주의하는 것이 좋습니다.
충분한 양치질이 이루어지지 않았을 때 충치가 생기가 되며, 주로 어금니 뒤면, 치아와 치아 사이, 이 옆면, 치아 뒷면 등 칫솔이 잘 닿지 않은 부위는 음식 찌꺼기가 쌓여 우식증이 생기게 됩니다.
그러므로 양치질 후에는 치실과 치간 칫솔을 사용하는 것이 중요합니다.
치아는 신체의 다른 부위와는 달이 한 번 질환에 걸리면 자연 치유가 어려우며 재생되지 않습니다. 따라서 이차우식증은 유아 및 영아부터 성인까지 예방이 최우선이며, 치료도 초기에 치료하는 것이 좋습니다.
'건강' 카테고리의 다른 글
| 굴절 및 조절의 장애 (0) | 2023.02.22 |
|---|---|
| 급성 편도염 ( 원인, 증상, 진단, 검사, 치료 ) (0) | 2023.02.20 |
| 급성 기관지염 증상, 원인, 치료 방법 (0) | 2023.02.17 |
| 주의력결핍 과잉행동장애 (ADHD) 치료방법 (0) | 2023.02.16 |
| '환절기의 적' 비염의 원인 및 증상, 치료법 (0) | 2023.02.11 |