2023. 3. 11. 17:42ㆍ건강
우리들은 일생동안 유치 20개와 영구치 32개 총 52개로 살아갑니다.
유치는 생후 약 6~8개월부터 나기 시작하여 만 6~7세에 영구치가 자연스럽게 자라게 되면서 평생 영구치로 살아야 하는 만큼 치아가 정상적으로 나오는 것이 중요합니다.
그럼 치아 질병중 하나인 치아의 발육과 맹출장애를 알아보도록 하겠습니다.

치아 맹출이란?
치아의 턱뼈(악골)에서 발생하여 자라면서 잇몸 뼈를 뚫고 구강 내에 자리를 잡게 됩니다.
기능하는 위치까지 이동하는 일련의 과정을 의미합니다. 치아마다 맹출 시기와 순서, 위치가 정해져 있습니다. 이런 과정에서 치아가 정상적인 위치에 도달하지 못하는 경우를 맹출 장애라고 합니다.
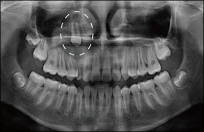
맹출 장애는 특별한 임상적 증상이 없으므로 조기 발견하기가 어렵습니다. 따라서 방사선 검사를 포함한 정기적으로 치과 검진을 받는 것이 중요합니다.
치아의 발육 및 맹출 장애 원인
치아 맹출은 사람이 성장함에 따라, 오랜 시간에 걸쳐서 턱뼈 내에서부터 먼 거리를 이동하는 과정입니다. 맹출 장애 주원인으로는 맹출 경로 이상과 과잉치와 같은 맹출 경로상의 국소적 방해입니다.
치배(치아 싹)의 위치 이상이나 발육 부전이 원인이 될 수 있으며 원인을 알 수 없는 때도 있습니다.
치아맹출장애의 원인은 크게 국소적 원인과 전신적 원인으로 볼 수 있습니다.
1. 국소적 원인
치배의 위치가 정상 맹출 경로와 전혀 다른 방향으로 바뀌어 있는 경우에 맹출 지연 혹은 매복이 흔히 발생합니다. 또는 치아가 구강 내로 맹출 할 공간이 부족한 경우에도 맹출 장애가 발생할 수 있습니다. 맹출 중인 치아의 맹출 경로상에 과잉치, 치아종, 반흔 조직, 유착된 유치와 같은 장애물이 있으며 치아의 맹출이 더 이루어지지 못하고 그 위치에서 정지하게 됩니다.
2. 전신적 원인
국소적 원인이 존재하지 않는 경우 전신적 원인일 가능성을 고려해 보아야 합니다.
내분비 대사 장애, 특정 증후군에 의한 치낭, 잇몸 인대에 결함이 발생하게 되면 맹출 장애가 발생할 수 있습니다. 맹출 장애를 일으키는 대표적인 질환은 다운 증후군, 쇄골두개이형성증, 갑상선 기능 저하증, 뇌하수체 기능 저하증, 연골발육부전성 소인증 등이 있습니다.
맹출의 종류
맹출의 종류에는 맹출 지연, 이소 맹출, 매복 등이 있습니다.
1. 맹출 지연
맹출 시기와 관련해서 정상적인 시기를 벗어나 맹출 되지 않고 늦어지는 경우를 맹출 지연이라고 합니다. 유치보다는 영구치에서 맹출 지연이 더 자주 나타납니다.

2. 이소 맹출
- 치아의 크기 등 여러가지 원인에 의해 치아가 비정상적인 위치로 자리 잡는 경우를 말합니다. 주로 큰 어금니, 아랫옆앞니, 윗송곳니에서 발생합니다.

3. 매복
- 일정시기가 지나도 맹출 하지 않고 있는 형태를 말합니다.

맹출 장애 영향
치아의 맹출 장애가 나타나면 여러 가지 문제가 생길 수 있습니다.
먼저 치열이 고르지 못하기 때문에 심미적으로 좋지 않으며 인접 치아에도 악영향을 미치며 부정 교합을 초래하게 됩니다.
이외에도 감염 및 연관통, 인접 치아의 전위와 치근 흡수 등의 문제가 나타날 수 있으며 치근 흡수가 발생하게 될 경우, 치수에 세균 감염이 일어나 치아의 통증이 발생하기도 합니다.
치아는 하나가 잘못되면 인접한 치아에도 영향을 미치게 됩니다. 또한 맹출 장애로 인해 발치를 하거나 치아교정을 해야 하는 경우도 있습니다.
맹출 장애 치료
맹출 장애의 치료 방법은 발생원인, 치아의 발육정도, 치배의 위치 및 맹출경로, 환자의 협조 등을 고려하여 결정합니다. 유전적 원인이 의심된다면 일찍 치료를 시작할 수 있습니다. 맹출에 방해가 되는 국소적인 원인은 먼저 제거되어야 합니다.
1. 국소적 원인의 제거
방사선 검사나 임상 검사 등을 통해 국소적인 원인이 파악된 경우에는 원인을 제거하는 치료를 해야 합니다. 과잉치, 치아종, 낭종, 맹출 시기가 지난 유치와 같은 치배 주변의 국소적인 원인은 수술을 통해 원인 제거합니다. 국소적인 원인이 없는 경우에 맹출 지연이 나타나는 경우가 있을 경우 전신적 혹은 유전적 원인을 의심해봐야 합니다.
2. 주기적 관찰
맹출 경로에 장애를 주는 요인이 없는 경우에는 환자의 나이 및 치아의 발육 정도를 고려하면서 주기적인 관찰을 해야합니다. 국소적인 병소가 존재하여 원일 제거한 후에 일정 기간 동안에는 주기적 관찰을 통해 치아의 자발 맹출을 기다리도록 유도할 수 있습니다.
3. 외과적 노출
매출 경로를 확보하기 위해서 점막, 골 때로는 치낭 일부까지 제거합니다. 치아는 저항이 가장 적은 방향을 향해 맹출 하는 경향이 있습니다. 입천장 측에 매복된 윗송곳니의 경우에는 외과적 노출술을 시행만으로도 구강 내로 맹출이 유도되기도 합니다.
4. 교정력을 이용한 견인
외과적으로 치관을 드러낸 후 교정 장치를 부착하고 교정력을 가하여 변위된 치아를 정상적으로 유도하는 술식입니다. 교정력을 서서히 약한 힘으로 적용해 치아의 생활력이 상실되지 않도록 주의해야 합니다.
5. 자가 치아 이식
매복된 영구치의 맹출 경로가 정상 위치에서 크게 벗어나있는 경우나 주변 치아와 골의 해부학 적 구조가 교정력을 이용한 견인에 적합하지 않을 때 자가 치아 이식을 고려합니다. 자가 치아 이식을 실행하려고 하는 치아의 발육 정도를 평가하여 자가 치아 이식을 시행하며, 일반적으로는 치근의 3/4 정도가 형성된 이후에 자가 치아 이식을 시행하는 것이 좋습니다. 완전히 발육이 완성되지 않은 치아일수록 성공할 확률이 높아집니다.
6. 발치
위에 언급된 치료 방법을 통해 치아의 견인을 시도하였으나 실폐한 경우, 해당 치아의 맹출 장애로 인해 주변 치아와 악골의 정상적인 발달을 방해하는 경우에는 발치를 고려할 수 있습니다.
위험요인 및 예방
구강 내에 치아가 배열된 공간이 부족하면 매출 장애가 나타날 수 있습니다. 즉 악골이 작거나 치아의 크기가 커서 치아가 배열된 공간이 부족한 경우에 맹출장애가 나타날 수 있습니다. 이를 예방하기 위해서는 치열 궁을 확장하는 조기 교정 치료가 필요할 수 있습니다.
출처 : 대한민국 정책브리핑, 질병관리청
'건강' 카테고리의 다른 글
| 현대인 직업병 오십견 (원인, 증상, 치료방법) (0) | 2023.03.13 |
|---|---|
| 급성 인두염 ( 원인, 증상, 치료, 예방 방법 ) (0) | 2023.03.12 |
| 봄 진드기 조심 - 중증열성혈소판감소증후군(SFTS) 원인 증상 치료 예방 (2) | 2023.03.05 |
| 대상포진 ( 원인, 증상, 치료, 경과) (0) | 2023.03.04 |
| 볼거리 (유행성 이하선염) 원인, 증상, 진단, 치료 (0) | 2023.03.02 |